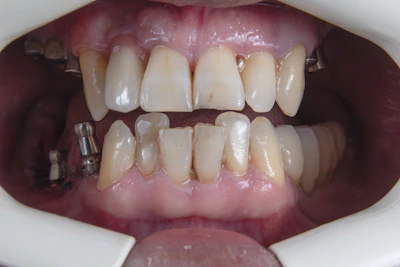
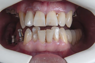
Prothèses dentaires
Des solutions sur mesure pour restaurer la fonctionnalité et l'esthétique de votre sourire.
Bridges dentaires
Remplacement de dents manquantes par un bridge fixe ancré sur les dents adjacentes, pour retrouver une mastication confortable et un sourire harmonieux.
Prothèses amovibles
Dentiers partiels ou complets personnalisés pour redonner fonction et esthétique aux patients présentant de nombreuses dents manquantes.
Couronnes dentaires
Restauration d'une dent abîmée par une couronne céramique ou zircone, pour protéger et reconstituer l'anatomie naturelle de la dent.
Découvrir nos soins
Implantologie
Retrouvez une dentition complète grâce à nos implants dentaires de haute qualité.
Parodontie
Prenez soin de vos gencives pour préserver la santé de toutes vos dents.
Esthétique dentaire
Des soins esthétiques pour sublimer votre sourire : blanchiment, facettes et bien plus encore.
Nous trouver
Notre clinique se trouve au cœur d'Ixelles, facilement accessible en transports en commun.
Adresse
Av. Franklin Roosevelt 112, 1000 Bruxelles
Ixelles
Itinéraires
Lun-Ven 10h00-18h00
Les lignes de transport suivantes ont des itinéraires qui passent près de Avenue Franklin Roosevelt


Horaires
Prendre rendez-vous


Prenez rendez-vous facilement en ligne ou appelez-nous pour toute urgence dentaire.