Blanchiment dentaire à Ixelles

Retrouvez un sourire éclatant avec nos traitements de blanchiment professionnels. La Clinique Scarabées vous propose des solutions sûres et efficaces, adaptées à vos attentes esthétiques à Ixelles.

Le blanchiment dentaire

Le blanchiment dentaire est une solution esthétique efficace pour retrouver un sourire lumineux. À la Clinique Scarabées, nous vous proposons des traitements adaptés à votre situation, réalisés dans les meilleures conditions de sécurité et de confort, pour des résultats visibles et durables.

Nos interventions

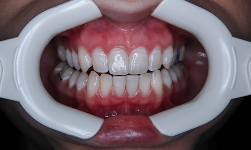
Blanchiment en cabinet

Réalisé par notre praticien en une séance, le blanchiment en cabinet utilise un gel à haute concentration activé par une lampe LED. Les résultats sont immédiats : votre sourire gagne plusieurs teintes en moins d'une heure.

a person's mouth with teeth
a person's mouth with teeth
Blanchiment à domicile

Nous vous remettons des gouttières sur mesure et un gel blanchissant adapté à votre sensibilité. Ce traitement progressif, réalisé chez vous en quelques nuits, permet d'obtenir un résultat naturel et personnalisé.

Autres soins

Remplacez une dent manquante par un implant dentaire durable, esthétique et fixe.

black blue and yellow textile
black blue and yellow textile

Alignez vos dents avec des appareils fixes ou amovibles adaptés à chaque âge.

Traitez vos maladies des gencives pour préserver vos dents et votre santé bucco-dentaire.

a man riding a skateboard down the side of a ramp
a man riding a skateboard down the side of a ramp
a man riding a skateboard down a street next to tall buildings
a man riding a skateboard down a street next to tall buildings

Suivez-nous !

Prendre rendez-vous

Prenez rendez-vous facilement en ligne ou appelez-nous pour toute urgence dentaire.


+32 490 29 89 60
02 648 12 17

Nous trouver

Notre clinique se trouve au cœur d'Ixelles, facilement accessible en transports en commun.

Adresse

Av. Franklin Roosevelt 112, 1000 Bruxelles
Ixelles

Itinéraires

Lun-Ven 10h00-18h00